Restore Strength and Beauty with Dental Crowns

Restore Strength and Beauty with Dental Crowns

Dental crowns are custom-fitted restorations designed to repair and protect teeth that are severely damaged, decayed, or weakened. Each crown is carefully crafted to fit over your natural tooth, restoring its shape, size, and strength while improving overall appearance.

Why Choose Dental Crowns
Crowns are ideal when a tooth cannot be restored with a simple filling. They provide full coverage and support for cracked, worn, or root-canal-treated teeth. In addition to protection, crowns help restore proper bite alignment and a natural-looking smile.

The Crown Procedure

  1. Consultation & Evaluation: Your dentist will assess the affected tooth and discuss material options based on your needs.
  2. Tooth Preparation: A small amount of enamel is removed to make room for the crown.
  3. Crown Placement: After impressions are taken, a custom crown is created and securely cemented over your tooth for a precise fit.

Benefits of Dental Crowns

  • Protects and strengthens weakened teeth
  • Restores natural appearance and function
  • Improves chewing comfort and bite alignment
  • Long-lasting solution for damaged teeth

Types of Crowns
Crowns can be made from various materials, including porcelain, ceramic, metal, or zirconia. Each material offers unique benefits in terms of durability and aesthetics. During your appointment, your dentist will discuss the best option to match your smile and functional needs.

If you have a damaged or weakened tooth, a dental crown can restore both strength and beauty. Book a consultation to explore your options and protect your smile for years to come.

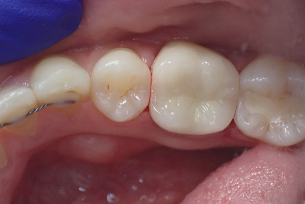
Before

dental crowns natural tooth restoration

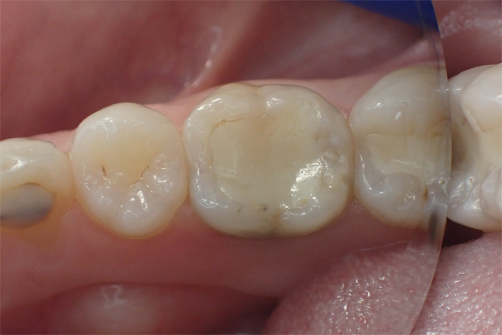
After