Composite Veneers in Vancouver

Enhance Your Smile with Composite Veneers in Vancouver

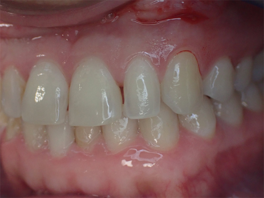
Composite veneers are a more affordable and conservative alternative to porcelain veneers. Made from high-quality, tooth-colored resin, they are carefully sculpted and bonded to the front surface of your teeth to improve their shape, colour, and overall appearance. This cosmetic treatment is ideal for repairing chipped, stained, or slightly misaligned teeth while maintaining your natural enamel.

Why Choose Composite Veneers in Vancouver?
Composite veneers are a popular choice for patients who want a quick and effective way to enhance their smile. The resin material is shaped directly on your teeth, allowing for same-day results and easy adjustments. Compared to porcelain veneers, composite veneers require less preparation and are fully reversible, offering a natural look without permanent alteration.

The Composite Veneer Procedure
1. Consultation & Planning: Your dentist will examine your smile and discuss your aesthetic goals.
2. Sculpting & Bonding: The resin material is applied, sculpted, and shaped directly on your teeth.
3. Polishing & Finishing: Once hardened, the veneers are polished to a smooth, natural shine.

Benefits of Composite Veneers
• Completed in a single appointment
• Minimally invasive and reversible
• Affordable compared to porcelain veneers
• Natural-looking results that enhance your smile

Care and Maintenance
Caring for your composite veneers is simple. Brush and floss daily, avoid biting hard objects, and schedule routine dental visits. With proper care, composite veneers can last several years while keeping your smile bright and beautiful.
If you are interested in composite veneers in Vancouver, schedule a consultation today to learn how this treatment can restore your confidence and give you a naturally radiant smile.

composite veneers vancouver natural smile makeover

Before

After