Porcelain Veneers in Vancouver

Transform Your Smile with Porcelain Veneers in Vancouver

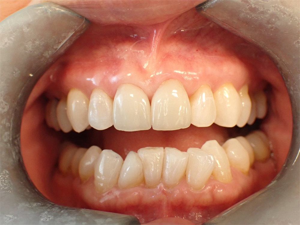
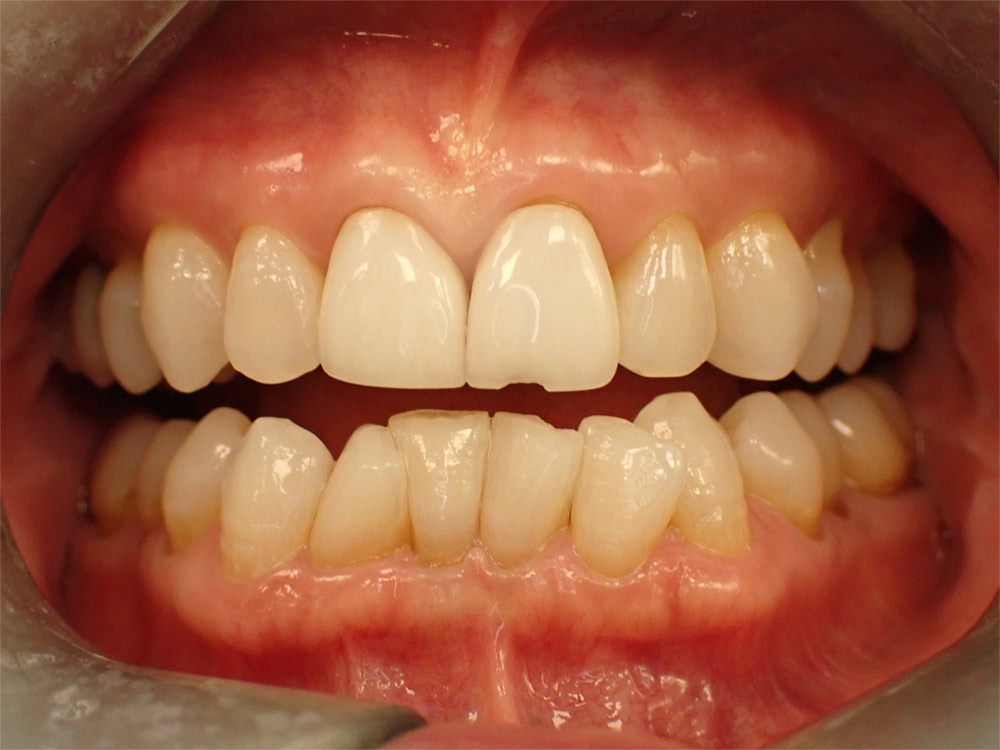
Porcelain veneers are thin, custom-made shells designed to improve the appearance of your teeth. Crafted from durable, high-quality porcelain, they mimic the natural translucency of enamel to deliver a bright, flawless smile. Veneers are ideal for correcting chipped, cracked, discoloured, or worn teeth, as well as closing unwanted gaps or improving minor alignment issues.

Why Choose Porcelain Veneers in Vancouver?

Porcelain veneers offer a simple yet transformative cosmetic solution. Unlike dental crowns, veneers only cover the front surface of your teeth, preserving most of your natural structure while achieving beautiful, long-lasting results. They are also stain-resistant and require minimal maintenance, making them a popular choice among patients seeking a confident, radiant smile.

The Porcelain Veneer Procedure

  1. Consultation & Planning: Your dentist will assess your goals, take impressions, and help you select the perfect shape and shade.
  2. Tooth Preparation: A small amount of enamel is gently removed to create space for the veneers.
  3. Bonding & Finishing: Once your custom veneers are made, they are bonded to your teeth and polished for a smooth, natural look.

Benefits of Porcelain Veneers

  • Natural and lifelike appearance
  • Stain-resistant and durable
  • Improves tooth colour, shape, and alignment
  • Boosts confidence with a brighter, more uniform smile

Caring for Your Veneers

Maintain your porcelain veneers with good oral hygiene. Brush twice daily, floss regularly, and schedule routine dental visits. Avoid biting hard objects and use a night guard if you grind your teeth. With proper care, porcelain veneers can last over a decade while keeping your smile looking radiant.

If you are considering porcelain veneers in Vancouver, book a consultation today to explore how this cosmetic treatment can transform your smile with precision and artistry.

Before

After