ZOOM! TEETH WHITENING TECHNOLOGY
Transform Your Smile — In a Single Appointment
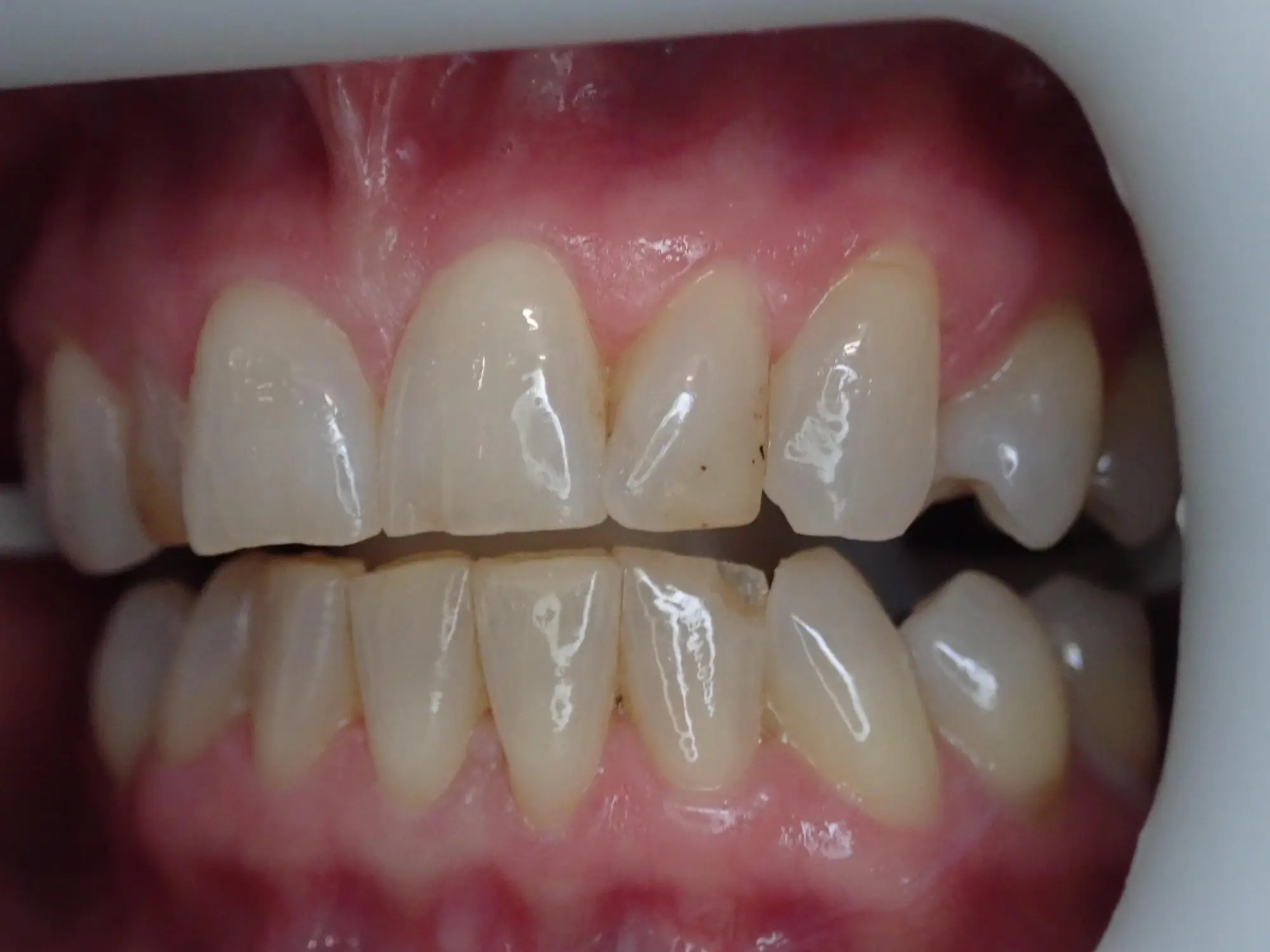
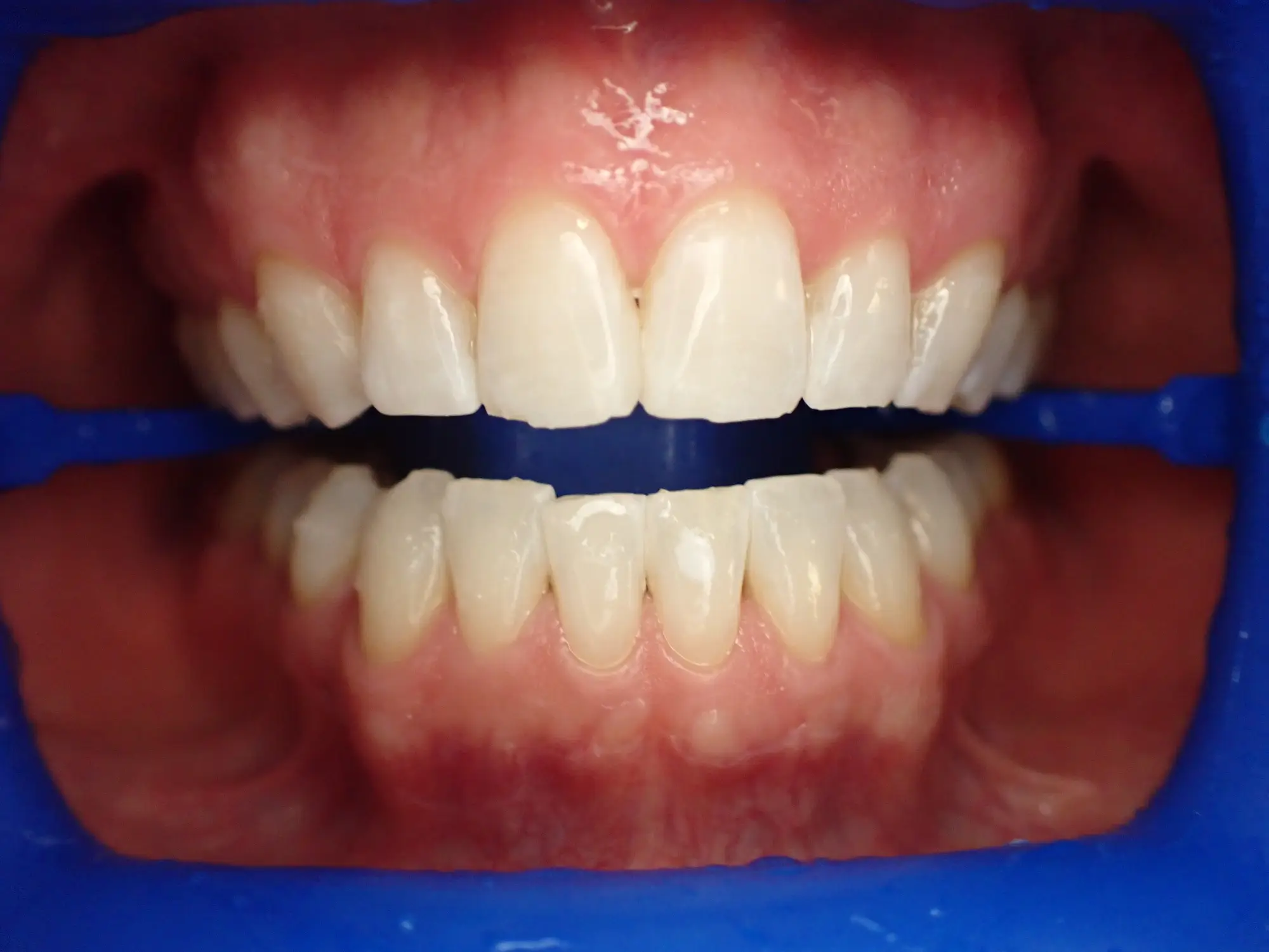
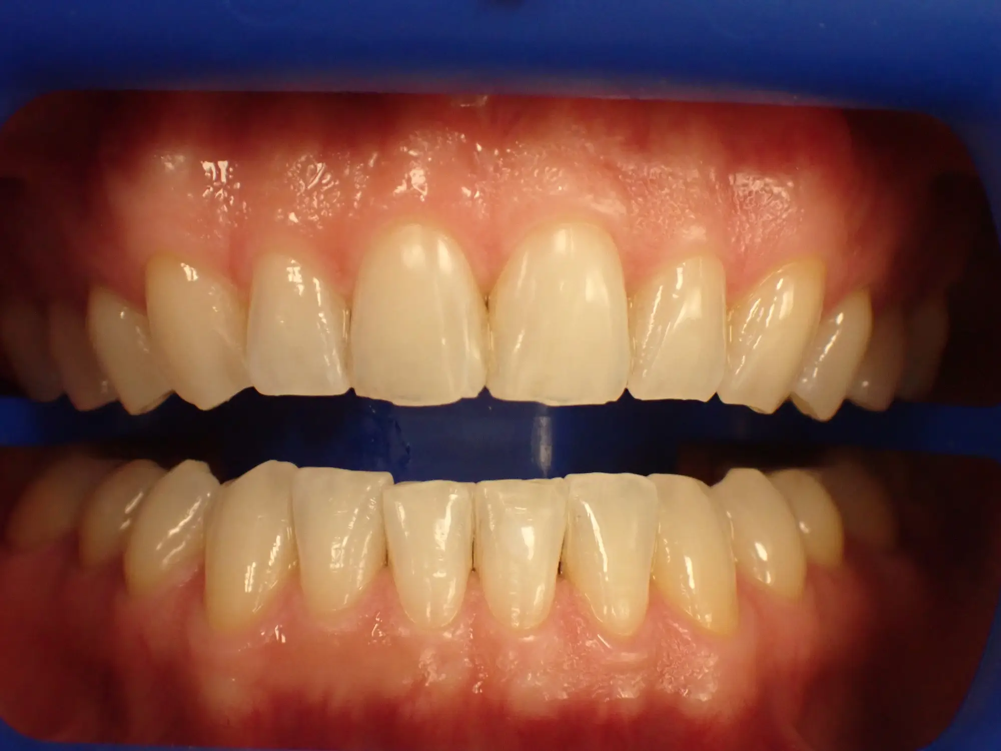
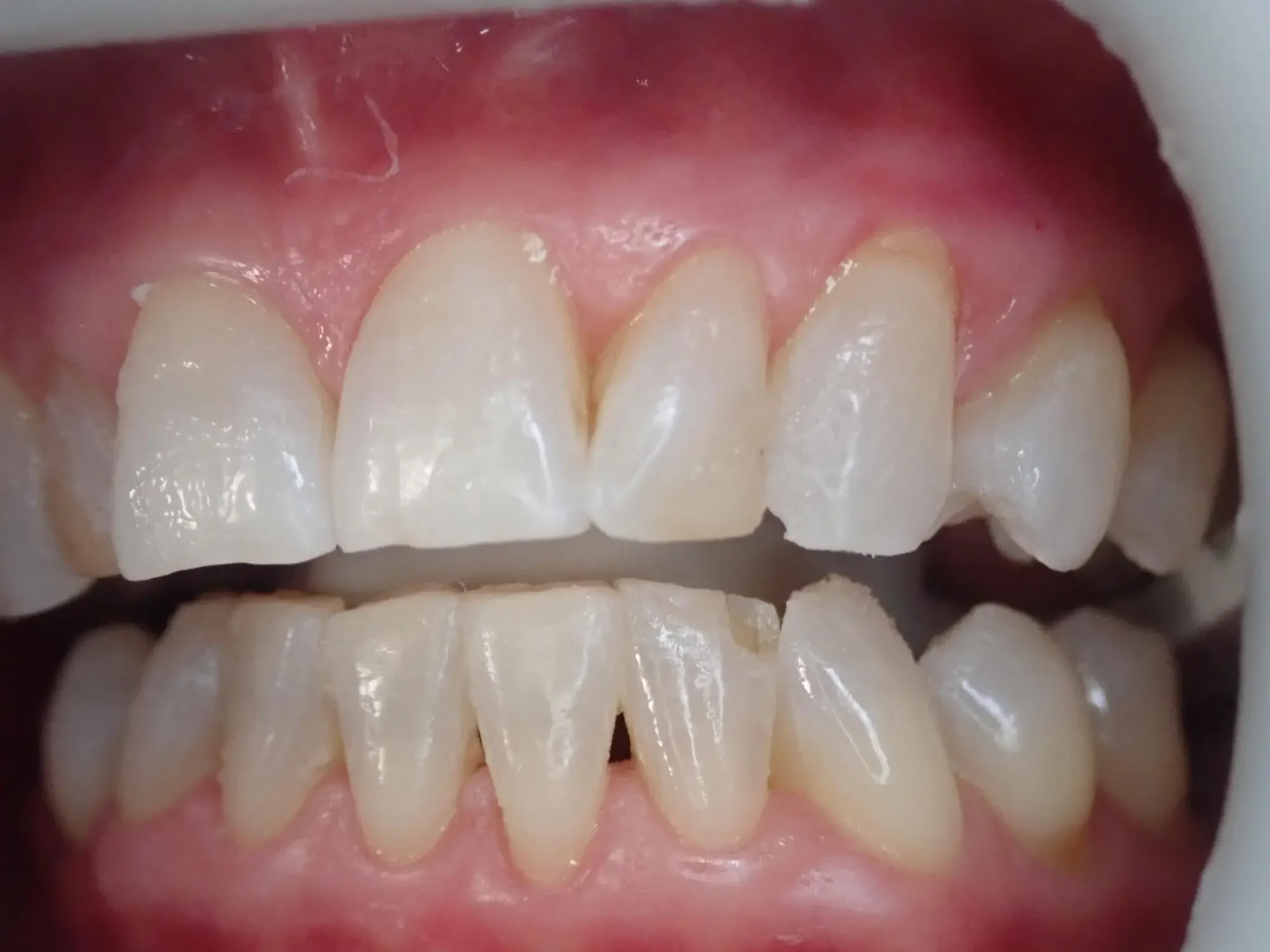
Imagine walking out of our office with a smile up to 8 shades whiter — in about an hour. With Zoom! Teeth Whitening, that's exactly what's possible.
The ZOOM! system, developed by Philips, is one of the most advanced and popular professional teeth whitening treatments available today. It combines the use of a high-concentration hydrogen peroxide gel with a specially designed blue LED light to accelerate the whitening process, offering remarkable benefits to patients seeking a cosmetic improvement.
Whether years of coffee, red wine, tea, or simply time have dulled your smile, Zoom!'s professional-grade formula targets deep stains that over-the-counter products simply can't reach.
Ready to love your smile again?
your brighter smile is just one visit away.
How Does Zoom! Work Its Magic?
Philips Zoom! whitening system is trusted by dental professionals worldwide and it's easy to see why patients love it.
Here's what your appointment looks like: your lips and gums are gently protected, then our dental team carefully applies Zoom!'s professional-strength hydrogen peroxide gel directly to your teeth. A specially designed blue LED lamp then activates the gel, accelerating the whitening process by breaking down stains and allowing oxygen to penetrate deep into your enamel. The result? A noticeably whiter, more radiant smile all within three short 15-minute sessions.
It's comfortable, fast, and supervised by our trained dental professionals every step of the way.
Is Zoom! Right for You?
Zoom! works beautifully for most patients, but we believe every great smile starts with a personalized plan. If you have existing dental work like fillings or crowns, we'll make sure whitening is the right fit for you before we begin because your results should look as natural as they do dazzling.
We also offer additional custom take-home whitening kits for patients who prefer whitening on their own schedule, with professional-grade results you won't find at the drugstore
Frequently Asked Questions
Before
After
Before
After
Before